Trbović Stomatološka Ordinacija - Profesionalno šminkanje, svečane frizure, saloni lepote, estetski i fitnes centri

0.0 • Napiši recenziju
Gundulicev Venac 34, Beograd • https://www.stomatologbeograd.co.rs/rs/ ordinacija@stomatologbeograd.co.rs +381 64 197 000 6

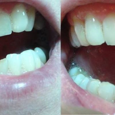
Ordinacija za estetsku i rekonstruktivnu stomatologiju Trbović pruža sve stomatološke usluge na jednom mestu. 



INFO


INFO



GALERIJA


2 Fotografija

RECENZIJE


0 recenzija

0.0
od 0
USLUGA
KOMUNIKACIJA
PROFESIONALNOST
VREDNOST
FLEKSIBILNOST

MAPA


Trbović Stomatološka Ordinacija - Profesionalno šminkanje, svečane frizure, saloni lepote, estetski i fitnes centri, Gundulicev Venac 34, Beograd

Napiši recenziju

1.0
USLUGA
KOMUNIKACIJA
PROFESIONALNOST
VREDNOST
FLEKSIBILNOST
1.0
1.0
1.0
1.0
1.0