Euro Dent - Muški frizer, berber, teretane i fitnes centri

0.0 • Napiši recenziju
Republička 4, Beograd • http://www.eurodentbg.com/index.html eurodent.ord@gmail.com 011/250-91-72

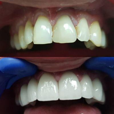
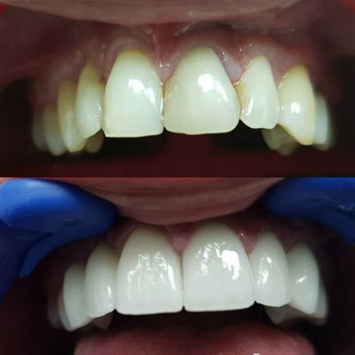
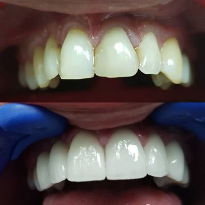
Estetska stomatologija podrazumeva skup raznih stomatoloških tretmana koji imaju za cilj poboljšanje izgleda zuba, desni, a samim tim i celokupnog osmeha. Žuti zubi, krivi zubi, oštećeni ili nepravilni zubi, uz pomoć najmodernijih metoda koje nudi estetska stomatologija, za čas mogu postati sjajni, lepo oblikovani, pravilni i perfektno beli zubi. Ohrabrujuće je što su ove intervencije bez neprijatnosti i bola, te više zaista nema razloga da se ulepšavanje zuba odlaže.

INFO


INFO



GALERIJA


5 Fotografija

RECENZIJE


0 recenzija

0.0
od 0
USLUGA
KOMUNIKACIJA
PROFESIONALNOST
VREDNOST
FLEKSIBILNOST

MAPA


Euro Dent - Muški frizer, berber, teretane i fitnes centri, Republička 4, Beograd

Napiši recenziju

1.0
USLUGA
KOMUNIKACIJA
PROFESIONALNOST
VREDNOST
FLEKSIBILNOST
1.0
1.0
1.0
1.0
1.0